When it comes to aortic aneurysms, one of the most common and concerning questions is: which is worse, ascending or descending aortic aneurysm? These two conditions share a similar name but differ greatly in how they affect the heart, blood flow, and overall health risks.
Understanding the difference between ascending and descending aortic aneurysm is crucial, as each type develops in a distinct part of the aorta and carries unique complications. While both can be life-threatening, their causes, symptoms, and treatment approaches vary significantly.
This article explores the key distinctions between ascending and descending aortic aneurysms, shedding light on their risk factors, warning signs, and how doctors manage these serious vascular conditions.
Table of Contents
ToggleWhich Is Worse Ascending Or Descending Aortic Aneurysm
To look into further depth into which is worse ascending or descending aortic aneurysm, first of all, we need to know more about the location of each of these aneurysms.
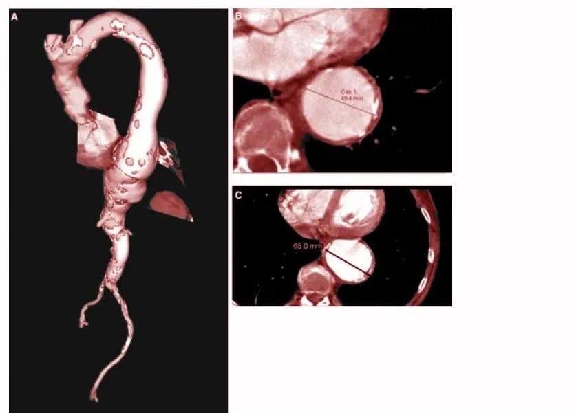
The aorta is a big blood vessel that supplies the body’s organs with oxygenated blood after it has been pumped from the heart.
It is further divided into the ascending aorta which goes upward from the heart, and aortic arch, and the descending aorta which goes down through the chest and the abdomen.
- Ascending aortic aneurysm: Sited in the upper part of the aorta immediately after this part has divided from the heart.
- Descending aortic aneurysm: Present in the area of the aorta that goes down into the chest and the abdomen.
In analyzing which is worse ascending or descending aortic aneurysm disease, the location of the aneurysm is important, because each condition has its risks and complications as leg aneurysm symptoms.
The Difference Between Ascending And Descending Aortic Aneurysm
An aortic aneurysm refers to an abnormal bulge or dilation in the wall of the aorta — the main artery that carries blood from the heart to the rest of the body. It is generally classified into two main types: ascending aortic aneurysm and descending aortic aneurysm. The key difference between them lies in their location within the aorta and how they affect the heart and circulation. Understanding this distinction is crucial for accurate diagnosis and determining the most appropriate treatment approach.
Risks Associated with Ascending Aortic Aneurysms
Just comparing the two it is often believed that the ascending aortic aneurysms are worse than the descending ones. Here’s why:
1. Closer to the Heart
The ascending aortic aneurysms are situated close to the heart and the aortic valve and they are thus at a higher risk to cause aortic dysfunction.
Such aneurysms may lead to aortic valve insufficiency or even heart failure in a patient or may cause Aches in Legs When Lying Down
2. High Risk of Rupture
As compared to other aortic aneurysms, ascending aortic aneurysms are exposed to blood pressure from the heart due to its close location to the heart.
This makes them more prone to rupture, an event that results in internal bleeding that is hard to control.
3. Increased Risk of Dissection
This is especially because ascending aortic aneurysms are considered to be worse than others, largely due to the increased chance of aortic dissection a condition in which the inner lining of the aorta splits.
Dissection can be life-threatening, anyone who undergoes dissection can suffer a stroke, heart attack or even die if treatment is not sought immediately.

Risks Associated with Descending Aortic Aneurysms
To assess which is worse ascending or descending aortic aneurysm, it’s important to consider the risks associated with descending aortic aneurysms:
1. Lower Pressure
The descending aorta is under less pressure compared to the ascending aorta, which means descending aneurysms have a lower risk of rupture. However, they can still lead to significant complications if they grow large enough or if they compress surrounding organs.
2. Compromised Blood Flow
Descending aortic aneurysms may block or reduce blood flow to vital organs like the kidneys or intestines, leading to ischemia and potential organ damage.
Which is worse ascending or descending aortic aneurysm, the location of the aneurysm can often determine which is worse ascending or descending aortic aneurysm.
Symptoms of Ascending Aortic Aneurysm
To help further determine which is worse ascending or descending aortic aneurysm, let’s look at the symptoms associated with each type. aortic aneurysm in females symptoms can include:
- Chest pain or pressure
- Shortness of breath
- Heart palpitations
- Coughing or hoarseness
- Swelling in the face or arms
- These symptoms are often related to the aneurysm’s effect on the heart and nearby blood vessels, reinforcing the idea that ascending aneurysms may be worse in certain cases.
Symptoms of Descending Aortic Aneurysm
Symptoms of descending aortic aneurysms can help shed light on which is worse ascending or descending aortic aneurysm.
These symptoms may include:
- Back pain or pain in the chest
- Abdominal pain
- Difficulty swallowing or breathing
- Numbness or weakness in the legs
These symptoms often develop as the aneurysm grows and presses against nearby organs or restricts blood flow to the lower parts of the body.
Also Read: Best Peripheral Artery Disease Diet Plan
Ascending vs Descending Aortic Aneurysm Treatment
In deciding between the two conditions as to which is worse ascending or descending aortic aneurysm, the treatment available we have for each of these forms a great part of the consideration.
Specifically, the treatments of both types of aneurysms mostly revolve around the size, location, and grow rate of the aneurysm.
1. Monitoring
In case of small aneurysms, the doctor may advise you to wait and watch and get imaging done once in a while, to inspect the growth of the aneurysm.
2. Medications
Certain drugs like the beta-blockers can be useful in decreasing blood pressure; therefore decreasing stress on the aorta and growth of the aneurysm.
3. Surgical Intervention
In larger aneurysms, surgical intervention may be needed. Surgical repair of the aneurysm can be either open surgical repair which involves the replacement of the destructed section of the aorta with a piece of a graft material or stent aided endovascular repair (EVAR).
This might be because the need for emergency surgery, especially for AAAs may be different from that of TXAs and this will determine if ascending or descending aneurysms are worse.

Read More About: How Dangerous Is a 4 cm Aortic Aneurysm?
Conclusion: Which is Worse, Ascending or Descending Aortic Aneurysm?
Ultimately, when determining which is worse ascending or descending aortic aneurysm, ascending aortic aneurysms tend to be considered more dangerous due to their proximity to the heart and the higher risk of rupture and dissection.
Descending aortic aneurysms, while still serious, may present a lower immediate risk, but can still cause significant complications if not managed properly.
In both cases, early diagnosis, regular monitoring, and appropriate treatment are key to preventing life-threatening complications.
At FRONTIER MEDICAL CARE, under the expertise of Dr. Farouk Marzouk, you’ll receive advanced diagnostic care and personalized treatment plans to protect your vascular health. Your health matters to us and early detection is the key to lasting wellness.
FAQs
What Is An Ascending Aortic Aneurysm?
An ascending aortic aneurysm is a balloon-like swelling that develops in the upper part of the aorta, just as it rises from the heart. This section of the aorta carries oxygen-rich blood directly from the heart to the rest of the body. When the wall of this part becomes weak, it may start to stretch or bulge outward. If the aneurysm grows too large, it can increase the risk of serious complications such as a tear (dissection) or rupture, both of which require urgent medical care.
Is Ascending Or Descending Aortic Aneurysm Worse?
Both types are serious, but ascending aortic aneurysms are often considered more dangerous because they are closer to the heart and the aortic valve. A rupture or dissection in this area can quickly affect blood flow to the heart and brain. Descending aortic aneurysms, located farther down in the chest, can still be life-threatening, but they usually progress more slowly and may be managed differently depending on their size and symptoms.
What Makes An Aortic Aneurysm Worse?
Several factors can make an aortic aneurysm grow faster or increase the risk of rupture. These include uncontrolled high blood pressure, smoking, high cholesterol, and a family history of aneurysms. Continuous strain on the artery wall weakens it over time. Lack of regular checkups or ignoring symptoms like chest or back pain can also make the condition worse. Managing blood pressure, quitting smoking, and following a doctor’s monitoring plan are key to slowing its progression.






